LIPS and Teeth 牛込歯科

歯科口腔外科

歯科口腔外科とは

歯科口腔外科|Lips and Teeth Clinic 牛込歯科

歯科口腔外科では、処置の難しい親知らずが顎の骨に埋まった埋伏歯の抜歯、歯根嚢胞、外傷、炎症などの外科治療を行います。

当医院では、状況によっては大学病院の口腔外科とも協力して治療を進めていきます。

患者様がリラックスできる治療環境を整え、常に信頼と安心の治療を心がけています。

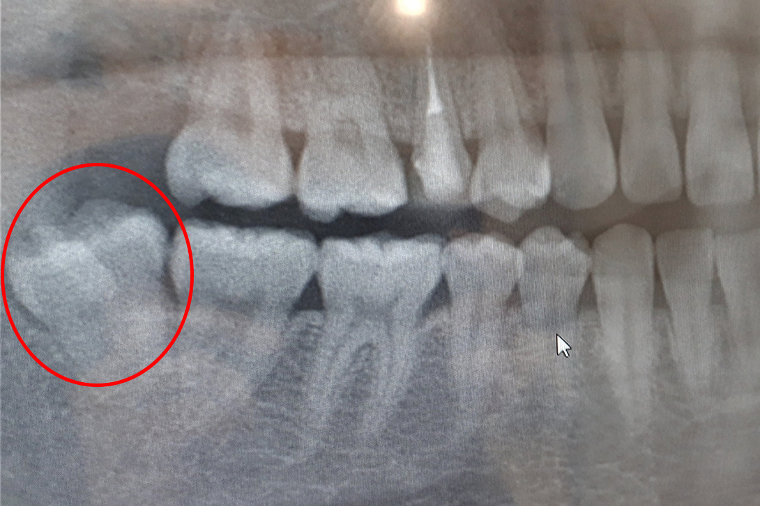
親知らずの抜歯について

親知らずのトラブル

親知らずとは大人の歯のなかでもっとも奥に生える歯のことで、個人差はありますがおおよそ20歳前後に生えてきます。
親知らずの歯は正常に生えていれば抜く必要はありません。
しかし、親知らずは他の歯よりもかなり遅く生えてくるため、歯の生えるスペースが不足している場合が多く、そのため斜めや横向きに生えたり、歯ぐきに埋没したまま生えてこなかったりとトラブルを引き起こしやすいのが特徴です。

親知らず自体がむし歯・歯周病になっている、親知らずの周囲の歯茎が腫れ・痛みを繰り返す、隣の歯を圧迫して悪影響を及ぼしているなど、問題がある場合は抜歯をおすすめします。

歯科口腔外科で取り扱う主な疾患

  • 抜歯:
    智歯(親知らず)や、埋伏歯(顎骨や歯肉に埋まっている状態の歯)等の難抜歯
  • 顎の周囲の外科的治療:
    がんの摘出手術、嚢胞(のうほう)や腫瘍の外科処置、交通事故などによる顎顔面の外傷の治療など
  • インプラントの埋入手術
  • 顎顔面外科(口唇口蓋裂など)の手術
  • 顎変形症(歯列不正)の手術
  • 口臭症
  • 顔面神経麻痺などの神経性の疾患
  • 口腔乾燥症
  • 味覚異常
  • 唾液腺の疾患
© Lips and Teeth Clinic 牛込歯科